Wie eine gute Kinderunfallversicherung die Knochen Ihrer Kinder schützt …
Liebe Eltern,
möglicherweise sitzen Sie gerade am Computer und denken über den Sinn oder die Kosten einer Kinderunfallversicherung nach? Wer weiß schon genau, wann man eine Unfallversicherung für seine Kinder braucht. Irgendwann und irgendwo zahlt sich eine Kinderunfallversicherung aber immer aus, … ist es nicht so?
Es ist gut zu wissen, dass eine Kinderunfallversicherung unsere „Kleinen“ und „Großen“ 24 Stunden rund um die Uhr optimal schützt, …weltweit, …im Urlaub, …in der Schule, …beim Sport, …oder auch zum Beispiel auch beim Inline-Skaten in der Freizeit. Das war für mich bislang keine Frage, doch …
… plötzlich macht eine Kinderunfallversicherung noch mehr Sinn, … denn eine TRIPLANE-Fraktur kommt schneller als man denkt …
Der Junge auf dem Bild oben ist mein Sohn Benjamin, … genannt „Benni“. Benni ist 14 Jahre alt und ein begeisterter Inline-Skater. Er fährt wirklich gut, … ohne Risiko und sehr sicher (in letzter Zeit sogar mit Helm!).
Als Expertin für Unfallversicherungen stellte sich mir bislang persönlich nie die Frage, dass eine Kinderunfallversicherung eine sehr wichtige und sinnvolle Vorsorge ist, denn früher oder später kann immer etwas passieren. Aber JETZT weiß ich es noch besser …
Am 11. Mai 2011 war die Welt noch in Ordnung. Um 17:30 Uhr sollte ich Benni am Skate-Park in Hachenburg abholen, als er mich anrief: „Mama, kann ich noch etwas länger bleiben?“ „Aber klar doch!“ 5 Minuten später klingelte erneut das Telefon: „Mama, holst Du mich bitte SOFORT ab, … ich bin gerade aus der Half-Pipe gefallen!“.
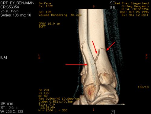
Kurz darauf waren wir bereits vor Ort. Und das DAK Krankenhaus Hachenburg liegt glücklicherweise direkt um die Ecke. Nach der Aufnahme in der Unfall-Ambulanz stand relativ schnell fest: TRIPLANE-Fraktur, … ein komplizierter 3-Ebenen-Bruch am linken Sprunggelenk: … 1. Schienbein gebrochen, … 2. Wadenbein gebrochen, … 3. diverse Abplatzungen vom Knochen.
Die beste OP kann eine Kinderunfallversicherung nicht ersetzen …
Angesichts der Verletzungen gab es keine Alternative. Benni musste „unter’s Messer“. Die medizinische Versorgung und die OP haben bis dato sehr gut funktioniert. Dank einer privaten Krankenversicherung hat der „Chef“ selbst operiert. Das war uns SEHR WICHTIG!
Kinderunfallversicherung vom Testsieger
Wer weiß schon genau, wann er eine
gute Kinderunfallversicherung braucht …
Trotz aller modernen Behandlungsmethoden und kompetenter Ärzte kann man bei einer derartigen Verletzung spätere Komplikationen nie ganz ausschließen: Vorzeitiger Wachstumsfugenschluss, Beinlängenverkürzung, Fehlstellung des Gelenks mit späterer Arthrosegefahr …

Die „Platz 1“ – Kinderunfallversicherung aus 4.000 Tarifen
Der Gips wird erneuert und das ganze Ausmaß
der Verletzung wird sichtbar …
Der Patient prüft zum ersten Mal die Wunde und begutachtet die Spuren der OP: Lange Narben „zieren“ ab sofort den Fuß. Auch eine Kinderunfallversicherung kann einen Unfall nicht verhindern und schon gar nicht rückgängig machen. Aber es ist gut zu wissen, dass für den Fall der Fälle ausreichende Vorsorge getroffen wurde.
Viele Eltern setzen die Versicherungssumme in der Kinderunfallversicherung zu niedrig an. Neutrale Verbraucherschützer empfehlen auch für Kinder eine solide Grund-Invaliditätssumme von mindestens 200.000 Euro. Dazu sollte man eine Progression von mindestens 225 Prozent vereinbaren. Der Grund liegt auf der Hand …

Meist führen Unfälle („Gott sei Dank“) nicht zur Vollinvalidität (100%). Vielmehr wird für dauernd beeinträchtige Gliedmaßen nur ein bestimmter Prozentsatz gemäß der Gliedertaxe vergütet. Aus diesem Grund muss die Invaliditätssumme unbedingt ausreichend hoch bemessen werden. Ansonsten verpuffen die angestrebten Effekte!
Letztendlich ist eine solide Kinderunfallversicherung
das finanzielle Ruhekissen für die Eltern …
Die ganze Familie macht drei Kreuze, … klopft auf Holz, … und drückt beide Daumen, dass keine Folgen eintreten. Aber ganz gleich, wie es verläuft: Die für Benni und seine Geschwister bestehende Kinderunfallversicherung wird im Fall der Fälle (bleibende Beeinträchtigung = Invalidität) mit bis zu mehreren hundert tausend Euro zur Verfügung stehen. Ich bin gespannt, wann Sie spüren, wie Sie sich mit einer Kinderunfallversicherung als Eltern SOFORT geborgener und sicherer fühlen!
So optimal geschützt sieht die Welt für die Eltern und den Patienten gleich schon wieder ganz in Ordnung aus. Früher oder später werden auch Sie froh sein, dass Sie eine wirklich gute und darüber hinaus sehr günstige Kinderunfallversicherung für Ihre Kinder abgeschlossen haben. Es ist bemerkenswert, wie einfach das geht …
Kinderunfallversicherung hier vergleichen
möglicherweise haben Sie anhand dieses unfreiwilligen Beispiels aus meiner eigenen aktuellen Praxis die Notwendigkeit einer Kinderunfallversicherung für sich erkannt. Es ist bemerkenswert, wie günstig man Vorsorge treffen kann, … wenn man weiß wie.
Bleiben Sie gesund!
Ihre Heike Orthey


